장꼬임 증상, 장염전 이란



배가 아프면 맹장! 이라고 생각하거나 또는 위에 문제가 생긴 건 아닐까 생각하게 됩니다. 그런데 갑자기 배가 심하게 아프거나 하면 그 원인 중 하나로 장꼬임 증상 일 수도 있습니다. 이는 과연 어떤 원인으로 발생하는 것인지 어떤 증상 나타나는 것인지, 장염전, 장폐색이라는 이 증상을 살펴보겠습니다.
아주 간단한 장꼬임 증상이란 복통을 동반하는 변비 정도일 수 있습니다. 하지만 이것만으로 끝나는 증상은 아니기에 좀 더 자세히 알아둘 필요가 있습니다. 장꼬임 증상으로 나타나는 병명에는 장염전증, 장폐색증이 있습니다.
장꼬임 증상
첫번째 증상으로는 심한 복통입니다. 우리가 배가 심하게 아플 때 장이 꼬였는가보다라는 말을 하기도 하는데요, 진짜 장꼬임 증상 첫번째는 아주 심한 복통입니다. 그리고 구토와 구역질도 발생합니다.



소장이나 대장 일부에서 여러 원인으로 인해 부분적으로나 또는 완전히 장의 일부가 막혀서 장 속에 있던 음식물과 소화액, 가스 등의 내용물이 배 안에서, 장 속에서 축적되면서 장애를 일으키게 됩니다. 이것을 장염전, 장폐색, 장꼬임이라고 합니다. 물론 그 꼬인 부분의 증상 정도에 따라 이름을 달리 부를 수도 있습니다.
장꼬임 생긴 부분에서의 통증으로 시작되어 복부 전체로 통증이 퍼지게 되는데 여기에 가스 등이 차면서 복부팽창, 복부팽만이 발생할 수 있습니다. 그리고 복통에 동반된 구토 등으로 탈수 증상이 생길 수 있습니다.
장꼬임으로 인해 밑으로 배출되지 못한 가스 등이 위로 올라오면서 역한 냄새가 나는 구토물을 토할 수 있고 계속되면 수분결핍과 탈수까지 진행됩니다.



장꼬임 원인
심한 복통과 탈수 등의 증상이 나타나는 이 장염전은 개복 수술 후에 장에 유착이 생겨서 나타나는 경우가 많습니다. 또한 오랫동안 탈장이 지속되어서, 장 기능이 저하되어서, 위궤양 또는 십이지장궤양으로 인한 급성 복막염, 대장암이 원인이 된 장관 막힘, 급성 장염 등이 장꼬임 증상 유발하기도 합니다.
이 외에도 심한 스트레스와 옳지 못한 식습관으로인한 소화불량이 지속되거나 또는 분명하지 않은 원인으로 장이 꼬일 수 있고 장이 중첩될 수도 있습니다.



장꼬임 진단
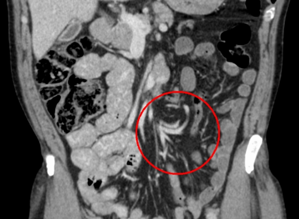
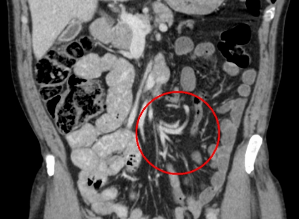
심한 복통과 탈수 등으로 병원 진찰 등으로 진단받을 수 있습니다. 복부 X-ray와 내시경, CT등의 검사 방법이 있으므로 크게 걱정할 필요없이 장꼬임 증상 중 대표적인 복부통증 심하다 싶으면 병원을 찾으시는게 큰 고생 없이 넘길 수 있습니다.



