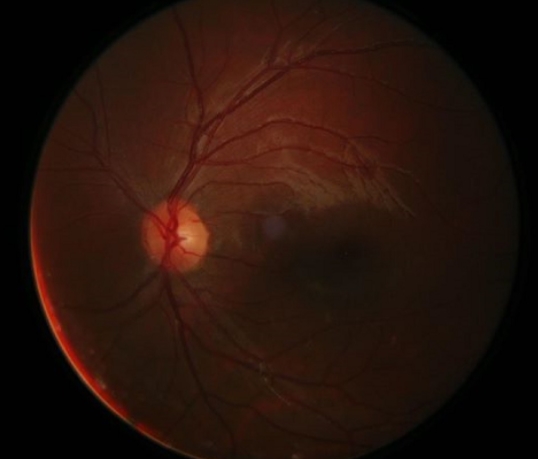
눈중풍, 망막혈관폐쇄 라는 병을 알고 계신가요?

우리는 중풍 그러면 몸의 반쪽이 제대로 기능하지 못하게 되는 것, 손과 몸이 떨리고 말을 어눌하게 하는 등의 병을 떠올리게 됩니다. 그런데 사람의 눈에도 중풍이 온다고 합니다. 즉 눈 속의 망막혈관이 터지는 것으로 인해 발생하는 병이라고 합니다.
동맥경화가 진행되면서 망막의 정맥이 막히는 병을 망막정맥폐쇄증이라 합니다. 카메라의 필름 역할에 해당하는 망막의 혈관이 막히는 것을 말하는데 혈관에는 혈액을 보내는 동맥과 혈액을 바꾸는 정맥이 있습니다. 그리고 어느 부위가 막히느냐에 따라서 망막중심정맥폐쇄증, 망막정맥분기폐쇄증 등으로 나눌 수도 있습니다.
이런 눈중풍 발생하는 원인은 동맥경화로 보이고 있습니다. 그래서 고령자에게서 많이 볼 수 있는 질환이며 고혈압과 고지혈증, 흡연 등이 이 병의 위험인자라고도 알려져 있습니다.



망막의 중심인 황반부에 부종이 생기고 시력저하와 한가운데가 암점 즉 가운데가 보이지 않으면서 사물이 비뚤거나 구부러져 보이는 등의 증상이 나타납니다. 또한 동맥이 막히는 증상까지 있으면 시야가 좁아지고 현저하게 시력이 뚝 떨어지는 경우가 있습니다.
또한 망막동맥폐쇄증은 위에서도 말했듯이 혈액을 내보내는 역할을 하는 동맥이 갑자기 막혀 부분적으로 보이지 않게 되는 부분이 생기는 시야결손, 시력저하 등이 발생합니다. 뇌경색과 마찬가지로 일단 한번 이런 증상 나타나면 후유증이 남는 경우가 많습니다.



눈중풍 이라는 질환은 눈의 혈관인 정맥과 동맥 어느 부분이 막히느냐에 따라서 약간씩 이름을 달리하기는 하지만 망막혈관폐쇄 라는 공통점이 있습니다. 각각의 원인에 따라 황반부종과 신생혈관으로 인한 초자체 출혈이 발생하기도 하며 시력과 기능이 저하되기도 하며 경우에 따라서는 실명의 위험도 있을 수 있습니다.
망막혈관폐쇄 증상은 초기에는 자각증상이 없는 경우도 있지만 대부분은 갑작스런 시력저하와 시야이상, 왜곡 등이 나타납니다.



여러 검사와 혈관이상 정도, 생활습관, 지병, 현재 투약상황 등을 다 고려해서 치료를 하게 됩니다.



